Kosmetisches Zahnbleaching
Kosmetisches Zahnbleaching – Für ein strahlend schönes Lächeln
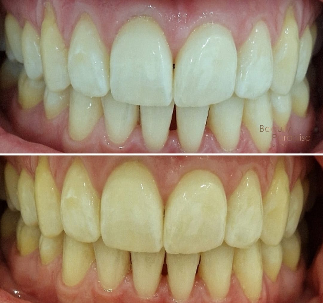
Mit dem kosmetischen Zahnbleaching bei BeautyParadise by Tati können Ihre Zähne schonend und sichtbar aufgehellt werden.
Durch meine fundierte Ausbildung als zahnmedizinische Fachangestellte mit Prophylaxe-Zusatzqualifikation biete ich Ihnen eine sichere, hygienische und fachlich korrekte Anwendung. Für ein natürlich weißes, wunderschönes Lächeln.
Was ist kosmetisches Zahnbleaching?
Beim kosmetischen Zahnbleaching handelt es sich um eine schonende Methode, die Zähne sichtbar aufzuhellen – ganz ohne Schmerzen oder Schädigung des Zahnschmelzes. Anders als medizinisches Bleaching beim Zahnarzt wird bei der kosmetischen Variante ausschließlich mit sanften, kosmetischen Wirkstoffen gearbeitet, die äußerliche Verfärbungen effektiv lösen.
Wie wirkt kosmetisches Zahnbleaching?
Bei der Behandlung wird ein speziell entwickeltes Bleaching-Gel auf die Zahnoberfläche aufgetragen. Dieses wird durch eine spezielle LED-Lampe aktiviert. Die Wirkstoffe dringen in die oberflächliche Zahnstruktur ein und lösen dort sanft die Farbpigmente, die durch z.B. Kaffee, Tee, Nikotin oder Rotwein entstehen können – ganz ohne die Zahnsubstanz anzugreifen.
Welches Ergebnis können Sie erwarten?
Das Ergebnis ist sofort sichtbar: Die Zähne wirken je nach Ausgangsfarbe 2 bis 6 Nuancen heller – natürlich weiß, ohne künstlichen Effekt. Ihr Lächeln erscheint frischer, jünger und gepflegter.
Das kosmetische Zahnbleaching ist ideal für:
• Bei leichten bis mittleren Zahnverfärbungen
• Für Raucher, Kaffee- oder Teeliebhaber
• Alle, die ihr Lächeln für besondere Anlässe wie Hochzeiten, Fotoshootings oder Vorstellungsgespräche optimieren möchten.
Wie lange hält das Ergebnis an?
Die Haltbarkeit des Ergebnisses hängt stark von den persönlichen Lebensgewohnheiten und der individuellen Zahnsubstanz ab.
Ihre Vorteile im Überblick:
✔ Sanfte und schonende Methode
✔ Keine Schmerzen
✔ Sofort sichtbares Ergebnis
✔ Behandlung durch qualifiziertes Fachpersonal
✔ Hygienisch und sicher durchgeführt im professionellen Ambiente
Jetzt Termin sichern für Ihr neues Traumlächeln
Vor dem Termin – Das sollten Sie beachten
Je sauberer die Zähne, desto besser das Ergebnis:
Eine Zahnreinigung ist empfehlenswert, um oberflächliche Beläge und Verfärbungen zu entfernen. Dies verbessert das Bleaching-Ergebnis deutlich, ist jedoch keine Voraussetzung für die Behandlung.
Gesunde Zähne und gesundes Zahnfleisch sind zwingende Voraussetzung:
Ein kosmetisches Zahnbleaching ist nur bei kariesfreien Zähnen und entzündungsfreiem Zahnfleisch möglich. Erkrankungen wie Karies oder Zahnfleischentzündungen sollten im Vorfeld zahnärztlich abgeklärt und behandelt werden.
Kein Zahnbleaching möglich bei
• Laufenden zahnärztlichen Behandlungen
• Zahnfleischentzündungen oder Zahnfleischbluten
• Herpes, akuten Erkältungen oder anderen Infekten
• Schwangerschaft oder Stillzeit (aus Vorsichtsgründen wird in dieser Zeit von der Behandlung abgeraten)
Unmittelbar vor dem Termin
Bitte putzen Sie sich vor dem Termin gründlich die Zähne und verzichten Sie danach auf Essen oder Getränke – Wasser ist erlaubt. So wird die Zahnoberfläche optimal vorbereitet.
Nach dem Termin – Für ein langanhaltend schönes Ergebnis
Nachwirkzeit beachten:
• Das aufgetragene Gel entfaltet seine volle Wirkung bis zu zwei Stunden nach der Behandlung. Während dieser Zeit sollten Sie ausschließlich stilles Wasser trinken, auf Speisen und andere Getränke verzichten und nicht rauchen.
White Diet für mindestens 48 Stunden:
• Nach dem Bleaching sind Ihre Zähne besonders aufnahmefähig für Farbstoffe und Säuren. Um erneuten Verfärbungen vorzubeugen, meiden Sie in den ersten 48 Stunden folgende Produkte: Farbintensive Lebensmittel und Getränke wie Kaffee, Tee, Cola, Rotwein, Tomatensoße, Curry, Kurkuma, Rote Bete, Beeren etc.
• Stark säurehaltige Speisen und Getränke, z. B. Zitrusfrüchte, Essig, Limonaden oder Energydrinks
• Nikotin, da es das Ergebnis negativ beeinflussen kann
Tipp für ein noch besseres Ergebnis:
• Je länger Sie auf färbende Lebensmittel und Nikotin verzichten, desto länger bleibt das Ergebnis sichtbar. Auch das Trinken mit einem Strohhalm kann helfen, direkte Einwirkungen auf die Zahnoberfläche zu minimieren.
Behandlungsdauer
• Die gesamte Behandlung – inklusive Beratung, Vorbereitung und Nachsorge – dauert in der Regel ca. 1 Stunde 30 Minuten bis 2 Stunden.
• Bitte beachten Sie: Die genaue Dauer kann je nach individueller Zahnsituation leicht variieren.
• Bei Folgeterminen ohne erneute Beratung verkürzt sich die Behandlungszeit entsprechend.

